Together, We Make Every Smile Matter

With expertise in occlusion and advanced prosthodontics, we deliver functional and aesthetic restorations with super-marginal fit creating confident smiles in our local community

About GTA

Dr Anthony Au

I have had the privilege of working with Mr Charles Kim of GTA Dental Laboratory for the past 20 years and throughout this time, he has consistently delivered dental restorations of the highest quality for my patients. His expertise in ceramic, gold and implant restorations is exceptional.
The precision and artistry he brings to every case reflect his deep commitment to excellence. He has an unwavering attention to detail and his creations often exceed expectations, which has made a real difference in the outcomes we’ve achieved together
.

Dr Anthony Au

Charles was schooled in the fine tradition of Gnathological principles and has a deep understanding of dental occlusion and how to harmonies anatomical form of dental restorations with masticatory function. He is always warm, humble, accommodating and friendly, which makes it a joy to plan, discuss and complete cases together.
        
I am deeply grateful for professional partnership we’ve shared over the year and I look forward to many more years of close collaboration in the service of our patients.

Dr. Anthony Au, Clinical Associate Professor, the University of Sydney,
School of Dentistry.
Prosthodontist at Dental Specialists Turramurra

                          Dr Russell Cooks

Charles, we have had such a fabulous relationship and I can’t thank you enough for the meticulous work that you have done for me and my associates over the years.

You have always been so fastidious and that has meant the fit and long term results have been so excellent, which has benefited us both in the long term

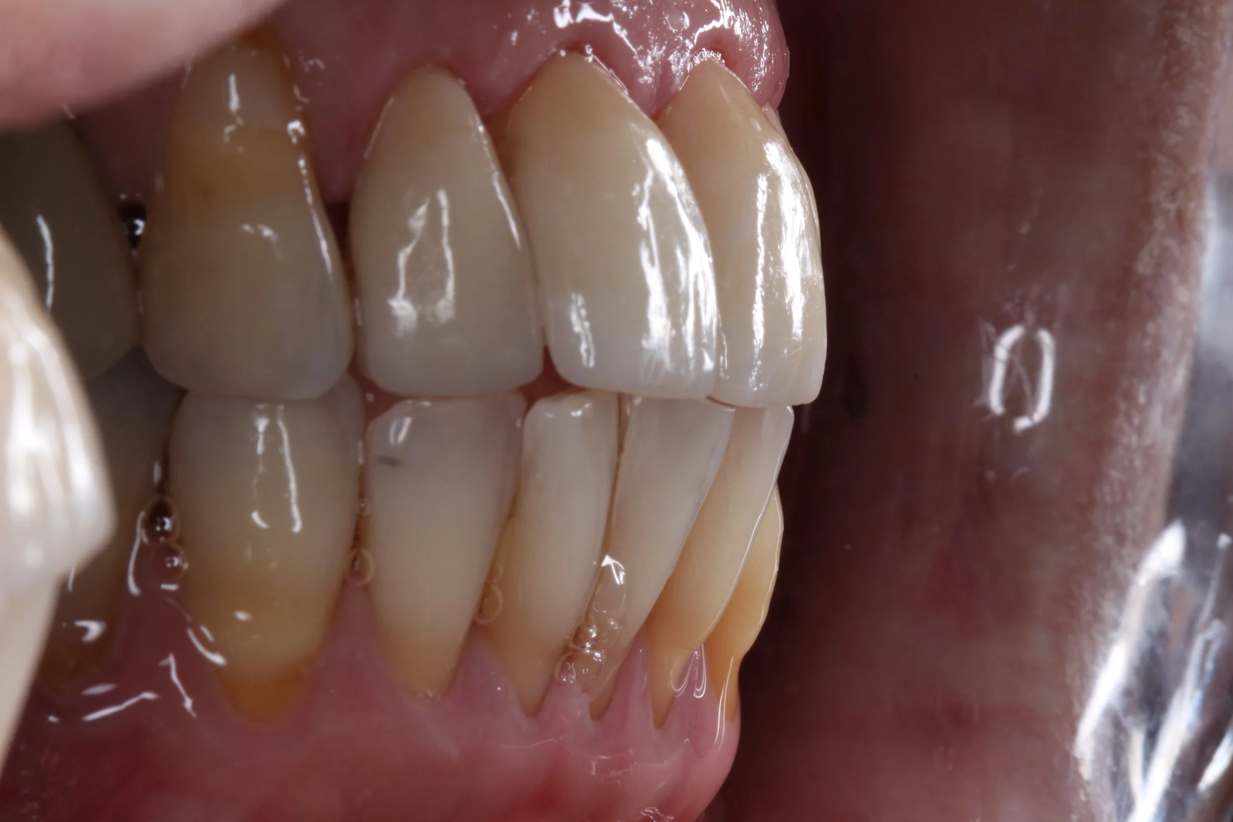
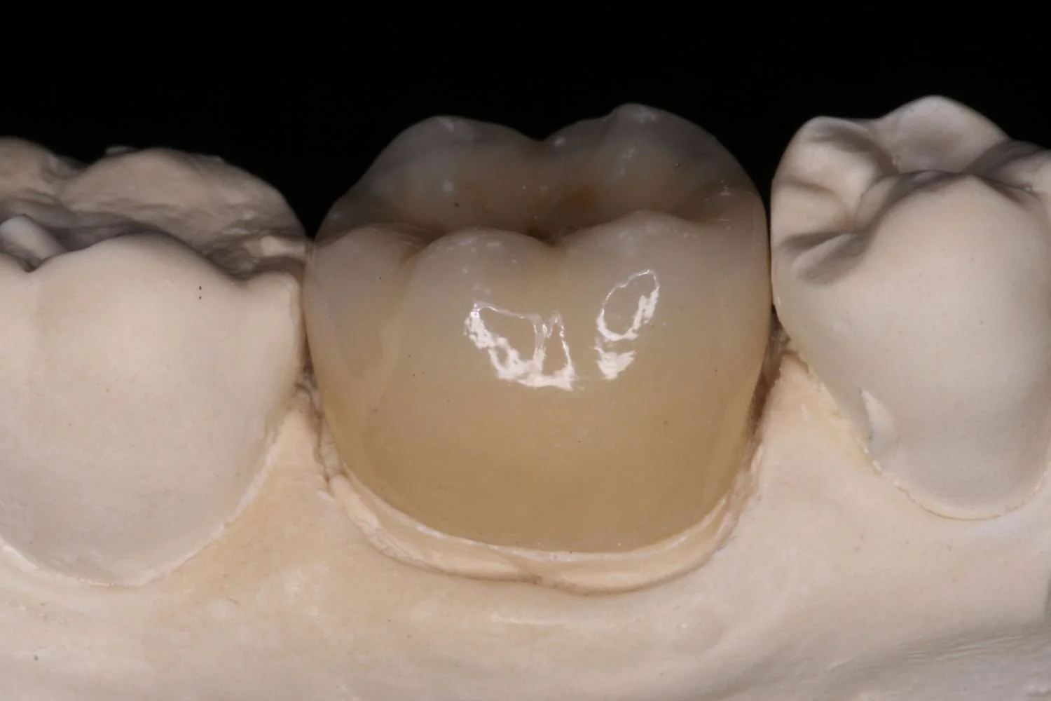
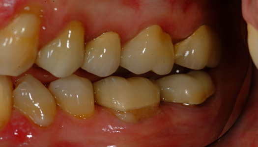
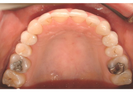
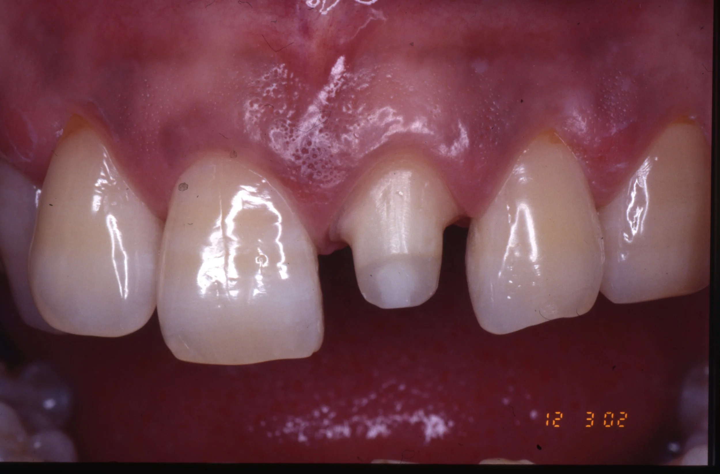
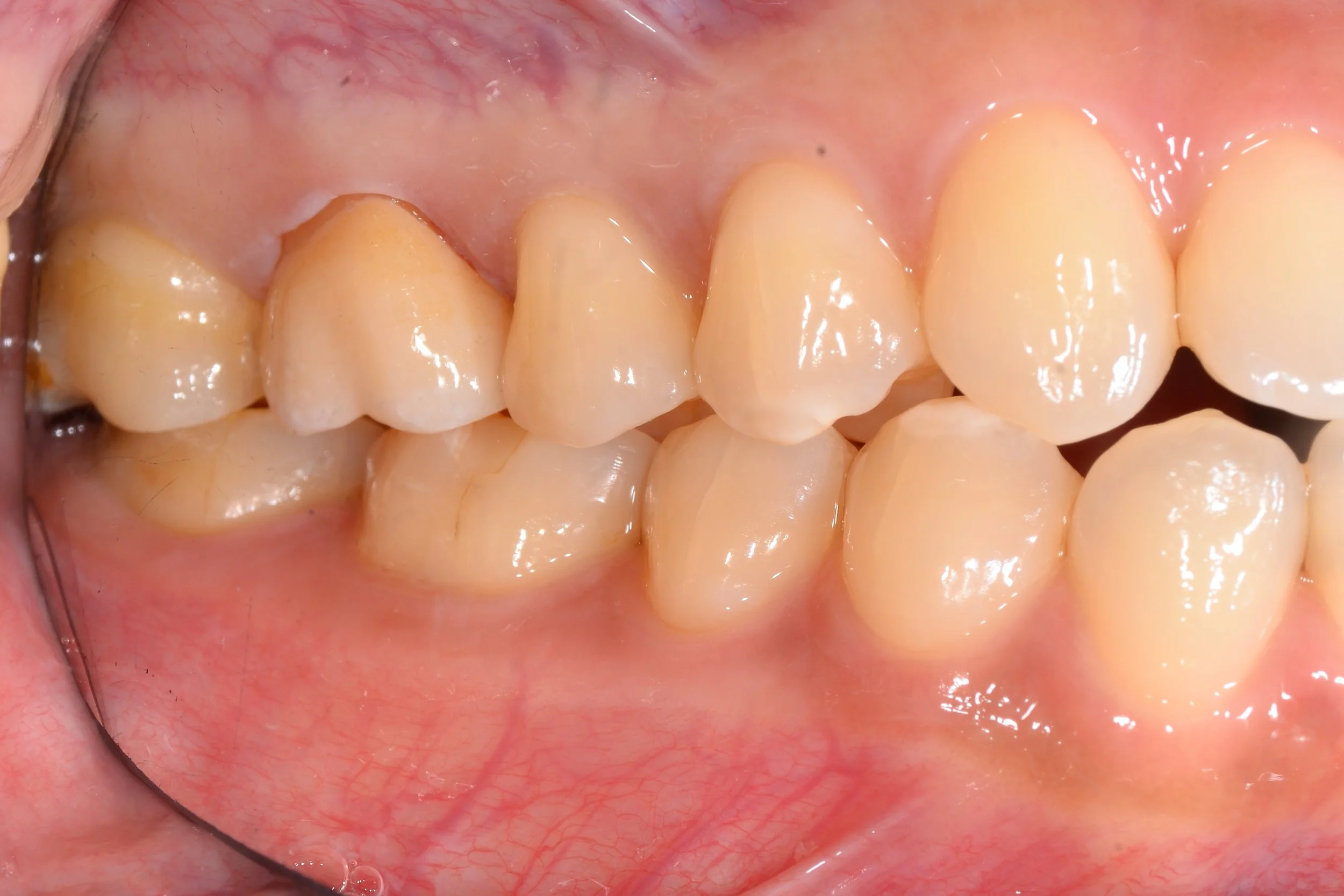
Charles Kim is a Registered Dental Technician in Australia with 30 years of knowledge and experience in dentistry. He is a leading expert in Gnathology and the concepts of occlusion, specialising in both functional and aesthetic dental prosthodontics with super-marginal fit. His work brings happy, confident smiles to patients in the local community

Charles Kim

GTA Dental Laboratory is a professional crowns and bridge, and implant lab. We have been providing Zirconia crowns and bridges or full arch bridges, E-max crowns, gold crowns, and PFM restorations in Chatswood NSW since 1999

GTA is owned by Charles Kim, an educated, skilled ceramist and crowns & bridge (C&B) implant technician. GTA delivers high-quality work with excellent marginal fit, occlusion, and effective colour communication, ensuring both functional and aesthetic results for patient’s satisfaction

Services for your Patient

GTA Dental  Laboratory provide high-quality dental restorations that combine function and beauty to suit each patient's needs

Implant C & B

All Ceramic C & B

PFM & Gold C

Precise Restorations Made for Your Patients

• Crowns & Bridges: Durable and natural-looking.

• Implant Restorations: Comfortable and personalized.

Advanced Technology for Best Results

• CAD/CAM systems ensure accuracy.

• Digital impressions for easy integration with your practice.

Support and Care

• Expert advice on planning and materials.

• 5-Year warranty card provided for Implants C&B, Zirconia C&B from Nobelbiocare

With GTA Dental Laboratory, your patients get restorations that bring back their confidence, with elegance and care.

WaxUp

Case Gallerly

Implant C & B

All Ceramic C & B

PFM & Gold C

WaxUp

Cad Design

This course explores advanced ceramic techniques that integrate all essential elements, empowering you to develop into a skilled professional ceramist.

Advanced Ceramic Course

Click here for course information - go to Ceramic Course section

One day a week for 16 weeks — 10 patient cases, total 22 all-ceramic crowns

Class limited to 6 seats

As dental ceramists, we understand that true success in restorative dentistry requires more than meeting basic technical standards. A restoration must harmonise aesthetic precision and functional integrity to achieve excellence

Through mastery of tooth shape, surface texture, and colour, we create natural-looking restorations that integrate seamlessly into the smile. Equally, by respecting tooth morphology and occlusion, we ensure long-term comfort, stability, and function

Introducing your instructor

Charles Kim is a Registered Dental Technician, Ceramist in Australia with 30 years of knowledge and experience in dentistry. He is a leading expert in Gnathology and the concepts of occlusion, specialising in both functional and aesthetic dental prosthodontics with super-marginal fit. His work brings happy, confident smiles to patients in the local community

Contact us

Please contact us if you have an inquiry about the case and fee schedule

0431477040

charles@gtalab.com.au

www.gtalab.com.au

Please click here for download lab form - go to Contact section